There are many aspects to choosing the right dentist. We hope our frequently asked questions helps you on your journey!
We offer a wide range of pain management and sedation dentistry options. We understand that no one likes dental pain and we’ll do everything we can to help!
We are a comprehensive, full-service family dental practice in Cary, NC. This means we can help with a variety of problems! Whether you need family dentistry, orthodontics, dental implants, cosmetic services, sedation or pain management, and much more. View all of our services for more information!
Our office offers the latest & greatest dental technology and the best guest amenities in the Triangle. We want to provide a relaxing and comfortable environment for our patients whether they are coming in for a dental exam and professional cleaning or a more complex dental procedure. We guarantee that your dental experience at Stanley Dentistry will be unlike anywhere else.
We are proud to offer a variety of financing options to fit your needs. Give us a call for specific questions, or explore our financing options online.
We give every smile the attention it deserves in our state-of-art dental practice in Cary, NC. We value your time and do not over-schedule our dentists. While we cannot control dental emergencies, our average wait time is less than 9 minutes.
We are an open network dental practice, which means we will file your claims regardless of insurance provider. We are also eligible to file your health insurance depending on the service you are receiving. For specific insurance inquiries, please call or email us.
We know you are busy, so we offer flexible, extended treatment hours. We are open Monday-Thursday, 7:00am – 3:00pm.
The speed at which you can get white teeth at the dentist depends on the method and type of whitening treatment used. For example, professional in-office whitening treatments with a dental light can provide you with almost immediate results, while at-home whitening kits take several weeks or more to achieve your desired level of whiteness. At Stanley Dentistry, we offer professional teeth whitening services that are tailored to meet the individual needs of our clients. Our Zoom whitening treatments are fast and effective, allowing you to get white teeth in just one visit. We also offer Kor Whitening for a deeper whitening result. We offer at-home whitening kits that are customized for each client, ensuring long-lasting results. Whether you want to make a drastic change or just lighten your teeth a few shades, our experienced team is here to help you achieve your perfect smile.
When it comes to improving your smile, there are a variety of options available that are safe and effective. The simplest way to improve your smile is with teeth whitening, however, there are other options. Dental veneers are thin shells of porcelain that are bonded to the front surface of your teeth in order to change their shape, color, and overall appearance. Dental implants, on the other hand, are a permanent solution to missing teeth that involve surgically placing titanium screws in the jawbone and allowing healing around the implants. Invisalign is a revolutionary way to straighten your teeth without having to wear traditional metal braces, and it makes use of custom-made clear aligners that gradually move your teeth into the desired position. No matter which option you choose, it's important to talk to your dentist to see which one is best for you. With the right treatment plan, you can be sure that your smile will look and feel its best.
It is possible to get brighter, whiter teeth in a variety of ways. One of the most common options is Zoom! Teeth Whitening, a professional treatment that can be done in your dentist’s office. Zoom! Teeth Whitening uses a light-activated bleaching gel to brighten your teeth. This procedure can be completed in just one hour, and your dentist may also offer take-home products to extend the whitening results. If you’re looking for a more convenient option, at-home teeth whitening kits are available for purchase. These kits typically include a whitening gel and customized trays that fit over your teeth. At-home teeth whitening kits require more time than Zoom! Teeth Whitening, but you can whiten your teeth at your own pace and in the comfort of your own home. For those who want to achieve the most dramatic results, KöR Whitening Deep Bleaching™ may be an option. This professional whitening system involves both in-office and at-home treatments, and it can lighten your teeth up to 16 shades. Your dentist will create custom whitening trays for you to use at home, and they will also provide you with a special maintenance gel that can help keep your teeth bright and white.
Crown lengthening and gum contouring are two simple procedures that can be used to alter the appearance of the smile. Crown lengthening is a dental procedure that involves surgically removing excess gum tissue and bone, allowing more of the tooth to be exposed. This can help reduce a “gummy smile”, in which teeth appear too short due to the excess gum tissue. Gum contouring is another cosmetic dental procedure that reshapes the gum line. This can help to eliminate excess tissue and create a more balanced smile. Both crown lengthening and gum contouring are quick, relatively painless procedures and can help improve the appearance of the smile. However, it is important to work with a qualified cosmetic dentist in order to achieve the best results. With proper care and maintenance, these procedures can add to the beauty of your smile for years to come.
The cost of teeth whitening depends on the type and method chosen. Zoom! Whitening, a chairside procedure done in-office, usually costs around $500. KöR Whitening, another chairside procedure, can cost up to $1,200 or more. Take home whitening kits, which provide whitening trays and a professional-strength bleaching gel, typically cost about $300 to $400. Generally speaking, take home whitening kits are the most cost-effective option, but chairside procedures such as Zoom! and KöR can provide more dramatic results. Ultimately, the best option for teeth whitening will depend on an individual’s budget and desired results.
Whitening will not remove plaque from your teeth. If we notice a build-up of plaque, we will recommend that you get a full cleaning before your whitening treatment.
On average, whitening lasts for around three years. This number can be bigger if you stay away from things that can stain your teeth, like red wine, tea, and tobacco.
The color of teeth and bad breath are not normally connected. Not brushing and flossing, being dehydrated, and having tonsil stones are some of the most common causes of bad breath — none of which has anything to do with how your teeth actually look. Sometimes, tooth decay can cause bad breath. In that case, a filling will help but whitening won’t. Whitening is a purely cosmetic treatment.
There are some at-home products that you can use to brighten your smile like baking soda and certain whitening kinds of toothpaste. However, it’s important to keep in mind that, for most people, these methods yield paltry results. You may see a shade or two difference but baking soda will not bring a dramatic change. If it could, we’d be using it in the office! For best results, come in for a consultation to see which in-office whitening option is right for you.
A lot of our patients assume that teeth whitening can cause long-term dental problems. Fortunately, that isn’t true. Both Zoom! and Kor whitening are completely safe. Beyond some mild sensitivity, most patients report zero post-procedure complications.
If your teeth aren’t healthy, placing veneers over them won’t help. Cavities will still grow and worsen, even with a veneer hiding them. Veneers are a cosmetic procedure that’s only meant to help transform the shape and shade of your smile. As with any cosmetic procedure, Dr. Bobbi will make sure your teeth are healthy before placing veneers.
The question everyone always wants to know: how much do veneers cost? Like almost everything in dentistry, there is absolutely no way to give a flat rate when it comes to veneers because they’re so customizable. If an office is giving a flat rate, they’re most likely allowing patients to leave their office with “one-size-fits-all” veneers that don’t look good on anyone. At Stanley Dentistry, we want to give every patient a set of veneers that works well for their unique mouth shape. This means that prices will naturally vary. Prices for veneers also depend on how many veneers the patient wants. Some people don’t really know how many veneers they need in order to get the smile they imagine. For the most accurate estimate on your veneers, come in for a consultation. We will go over every aspect of the procedure and layout a few different financing options.
A lot of people who are interested in getting veneers fear that they’ll make their smiles look unnatural. At some offices, dentists force patients through a bad experience, giving them limited options and few chances to customize their veneers. Fortunately, that’s not how we do it here. At Stanley Dentistry, we strive to give you the shape, shade, and size veneer that you want. Our doctors and assistants will sit down with you to find out exactly what look you’re going for. At the end of the day, we want you to leave our office happy and confident. We do, however, take into consideration some things that patients don’t always think about. Dr. Bobbi has twenty-five years of experience in cosmetic dentistry and knows how to make each and every patient’s veneers look amazing. If Dr. Bobbi encourages you to go in a certain direction with your veneers, it’ll be for a good reason. We promise that post-procedure, you won’t have the stereotypical blocky veneer teeth. You’ll have the smile of your dreams.
Veneers are not natural enamel so traditional methods of whitening won’t whiten your veneers. Actually, whitening toothpaste will cause staining. Whitening toothpaste polishes enamel but creates small scratches on veneers.
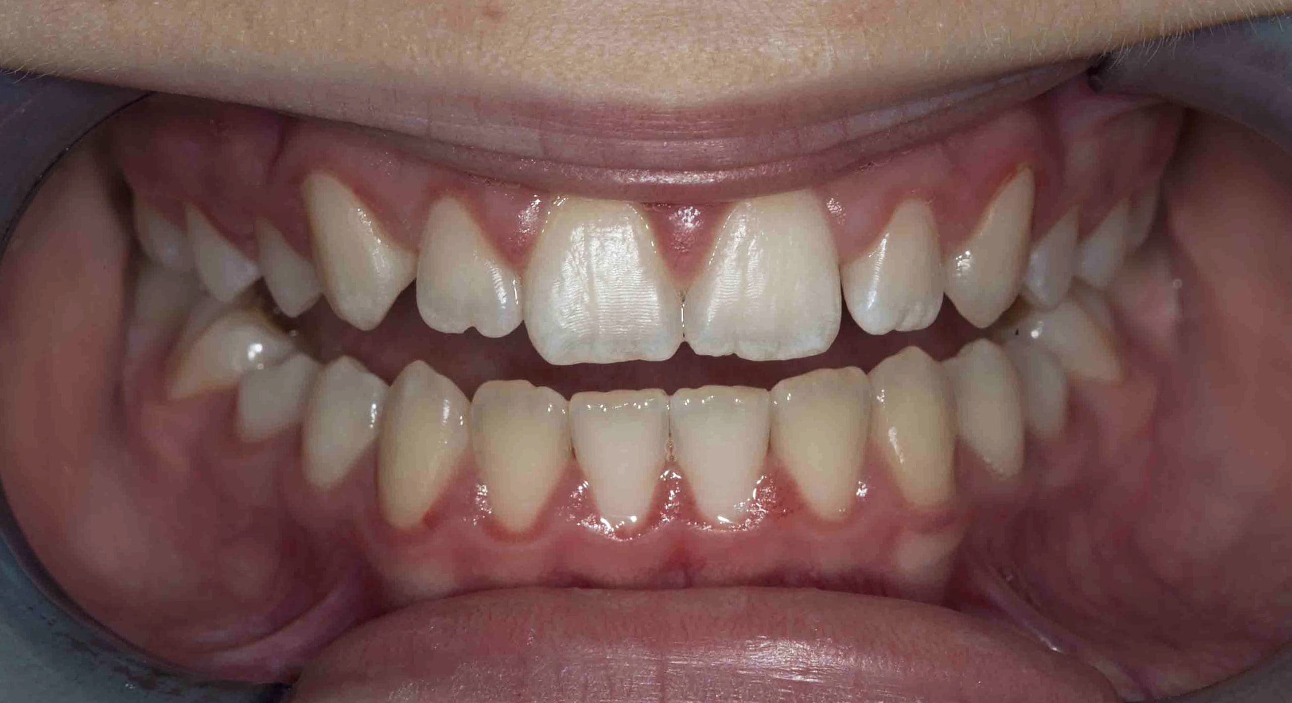
One of the most common side-effects of severe or late-stage periodontal disease is gum recession. As bacteria grow in the gums, the ability for the gums to stay attached to the teeth deteriorates. The teeth will begin to look “long” as the gums gradually pull away from the teeth.Unfortunately, gum recession is permanent. The gums are very resilient but they cannot grow back without some assistance. If your gum recession is severe, we will recommend a gum graft which is a way to artificially repair recessed gums. Dr. Rob uses artificial tissue to “graft” over the affected area, similar to a skin graft.If gum grafts sound a little intimidating, there is an alternative. For less severe cases, we can use a kind of collagen called AlloDerm that regenerates gum tissue. If you’re interested in getting gum grafting or Alloderm at the Stanley Dentistry office, schedule a consultation today.
In the past, receiving a crown took at least two appointments, separated by a two-week wait period. With the CEREC 3D Computer Aided Design and Computer Aided Manufacturing (3D/CAD/CAM) system, we can create ceramic restorations in the course of a single treatment session.
During a dental crown procedure, a dentist will use a local anesthetic to numb the tooth that is being restored. The cementing process is fairly quick and, thanks to the anesthetic, completely painless. Post-procedure, most patients experience some mild discomfort that they can alleviate with acetaminophen and ibuprofen.
The CEREC mill starts with a small block of porcelain that it then files down into the shape of the scanned tooth. We choose to use porcelain for our crowns because it’s durable, aesthetically pleasing, and stain-resistant.
In the last few decades, dentists have exchanged the old method of using amalgam fillings (metal fillings) for more realistic composite, tooth-colored fillings. If you get a new filling, you’ll most likely get a composite filling but there are still millions of people who have old amalgam fillings.These fillings work fine but a lot of our patients find them unsightly. If they want, we can remove the old filling and place a tooth-colored filling instead. However, if the old filling is intact and in good condition, insurance will not cover a replacement. Replacing an amalgam filling for a composite filling is considered cosmetic.
The price of cosmetic dentistry varies widely. Some procedures (like whitening) are very affordable while others are a larger investment. There is no way to determine exactly what the price of your individualized treatment will be until your consultation. During the consultation, our financial coordinator will walk you through your financing options.
Cosmetic dentistry is a big umbrella that a lot of offices use to include a wide variety of services. At Stanley Dentistry, we consider anything that boosts the confidence of our patients to be cosmetic dentistry.
A lot of patients come in knowing that they want to improve their smile. Very few patients come in knowing exactly what procedures will help them reach that goal. Fortunately, that’s where we come in. During a cosmetic dentistry consultation, Dr. Bobbi will take a look at your teeth and give you some recommendations.Each and every patient is different so there’s no quantified equation for getting a perfect smile. Of course, our doctors and assistants will be with you during each step of your treatment. Before you know it, you’ll have the smile you’ve always wanted!
Teeth supported by dental implants have been successful for hundreds of thousands of people. The number of patients with dental implants is growing rapidly due to their effectiveness, long-term durability and the high success rate.
All-on-4 is a term used to describe a dental implant procedure that uses four dental implants to support an upper and/or lower set of prosthetic teeth. Clinically, the All-on-4 and TeethXpress protocols are similar procedures.
In general, multiple studies have shown full-arch, immediate-load, dental implant procedures like TeethXpress to be 95%+ successful. Traditional treatment teeth replacement alternatives like fixed or removeable bridgework and dentures have a much shorter lifespan than the TeethXpress procedure. Therefore, these methods usually require more frequent visits to the dental office for repair work. The long-term value of TeethXpress far exceeds traditional treatment options.
Yes, most patients with either an Indemnity or PPO dental insurance plan will qualify for some supplemental coverage of the TeethXpress procedure. Our experienced business management team will help you maximize your dental insurance benefits as soon as they receive your dental insurance benefits details.
Dental implants can last many years if cared for properly. It is very common for patients to benefit from the use of their dental implants for 30 years or more. BioHorizons dental implants have an extremely high average success rate (99%).
As with natural teeth, it will be important to keep your new smile healthy by following a daily oral hygiene regimen that will be provided for you following the procedure. You will schedule regular follow up visits with your TeethXpress dentist for professional cleanings.
TeethXpress is designed as an immediate solution so that you walk out the same day with secure, natural-looking teeth.
In general, the TeethXpress procedure can be performed in three to four hours. Our doctor(s) can provide you with a more accurate time frame once we have an opportunity to evaluate your case.
Patients respond differently to medical and dental procedures. Many patients feel comfortable returning to work the next day, while others prefer to rest for a day or two before returning to work. Based on your specific needs, the office will give you a recommended time frame to resume your daily activities, including work.
No, the procedure is typically done under local anesthesia but many patients prefer IV sedation to sleep during the procedure. The TeethXpress procedure is generally performed at our office setting.
Most adults who have lost most or all of their teeth can be a candidate for TeethXpress. Please ask our office to schedule you for a consultation to explain the benefits of this procedure and find out if you are a candidate for TeethXpress.
When a denture is worn for multiple years, the jawbone begins to shrink from a lack of stimulation that natural tooth roots or dental implants provide. Losing your teeth and wearing a denture will affect your smile and change the shape of your face, causing you to look prematurely aged.
A dental implant is a small component that is positioned in the jaw to replace the root of a missing tooth. A crown can be attached and held in place by a single dental implant or a bridge may be attached to multiple dental implants. Your jawbone bonds to the dental implant to provide permanent support for crowns and bridges. Dental implants are the standard of care for tooth replacement.
No, you are never too old for a dental implant! Dental implants can be successfully placed in adult patients of any age, as long as there is sufficient bone density to support the implant. Bone density decreases with age, so it is important to have your jawbone evaluated prior to placement of the implant. If your jawbone is not dense enough, a bone graft may be necessary to build up the area for successful implant placement. Your dentist will be able to evaluate your bone density and discuss the best treatment plan for you.
The time it takes to replace a missing tooth with dental implants can vary depending on the individual patient's unique needs and the complexity of their case. In general, the single implant placement procedure can take as little as four minutes, with no recovery time needed. After all that is complete, your dentist will place a false tooth on top of the implant and you'll have a new, beautiful smile. The total time is different from patient to patient, but you can typically expect the entire process to take from 5 to 8 months.
Replacing a missing tooth is an investment regardless of the type of procedure chosen. For instance, a dental implant and abutment may cost anywhere from $1,500 to $6,000 per tooth, while a bridge may cost between $1,500 and $3,000 per pontic (the artificial replacement tooth in the middle). Dental implants with abutments typically cost between $1,500 and $6,000 per tooth - this is considered the best investment, but is also the longest-lasting and most effective replacement for a missing tooth. Other more affordable options include a partial denture or dental flipper, which can cost less than $3,000. Many dental practices, including Stanley Dentistry, offer payment plans so that you can afford to get the smile that you want. Before choosing a treatment plan for replacing a missing tooth, it's important to discuss all available options with your dentist and determine which plan is most appropriate for your needs and budget. Your dentist can explain the advantages and disadvantages of each option to help you decide which is best for you. It is also important to consider the overall health of your mouth, as a missing tooth may cause other issues if not addressed in a timely manner. With careful planning and consideration, replacing a missing tooth can be an affordable and beneficial experience.
There are several options available to replace a missing tooth. Depending on your individual situation, one of the following treatments may be recommended: • Dental bridge: A dental bridge is a false tooth that is held in place by two crowns on either side of the gap. • Dental implants: A dental implant is a metal post that is surgically implanted into the jawbone and topped with a false tooth. • Partial denture: A partial denture is a removable false tooth that clips onto existing teeth. • Full dentures: A full denture is a removable false tooth that replaces all of the teeth in one jaw. These treatments can help restore your smile and give you back the confidence you may have lost due to missing teeth. Your dentist will be able to advise which treatment is best for your needs. The cost and duration of treatment will vary depending on the type chosen.
Every individual is different and we want to offer the personalized attention your smile deserves. We offer a consultation first to discuss options for missing or broken teeth. Our dentists can advise you about whether you are a candidate for single or multiple dental implants or a full arch/mouth replacement. Contact us today to schedule your consultation.
As with a lot of things in dentistry, dental implants don’t come with a firm price tag. Dentists will frequently price implants after taking into account these factors: Difficulty of the procedure Number of implants Health of the patient Dentists who offer low flat rates on their dental implants are most likely giving sub-par care. Unfortunately, cutting corners in the dental implant world is easy. Many dentists don’t use dental implant surgical guides (which means they perform the surgery effectively blind) because it can save a little cash. Others will leave out important steps to make the procedure faster and thus cheaper. At Stanley Dentistry, we believe in performing the best dental implant procedures no matter what. We also believe that all patients should be able to get that specialized care which is why we offer financing options. With an investment as big as dental implants, make sure you’re getting the top-notch treatment that you deserve.
Dental implants are just as strong as natural enamel. Plus, because they aren’t susceptible to decay, you won’t ever have to worry about cavities.
Dental implants are incredibly realistic, whether you get one or a whole arch of them. Post-procedure, no one will be able to notice a difference between your implant and your natural teeth. After a while, you might forget too!
Once a dental implant fuses with the bone, it’s stability and longevity is unmatched by any other dental procedure. The crowns on dental implants can become worn after a decade of wear, but the implant itself rarely (if ever) needs maintenance. Most of the patients who get their implants done at Stanley Dentistry have them for life. It’s important to remember that an important factor in the longevity of implants is care. Here at Stanley, smoking and poor dental hygiene are two of the biggest causes of implant failure.
Caring for your dental implant is easy. We provide convenient post-op instructions and can answer any questions you have over the phone. After your implant site has healed, the dentists and dental professionals at Stanley Dentistry are uniquely qualified to provide continuing care for your dental implant. Using technology specifically designed to maintain the integrity and health of implants, your dental hygiene team will care for you in the office and educate you on optimal oral hygiene for your new smile.
Unfortunately, we cannot give Invisalign treatment to patients with dental implants. Even if you’re only straightening one tooth, Invisalign inadvertently moves all of the teeth in that arch. An implant, unlike a real tooth, cannot move once a doctor places it so it would cause the Invisalign treatment to be unsuccessful. We recommend that patients who need both get Invisalign first and then get dental implants.
Are you having any problems with an old implant? We will take the time to carefully evaluate the situation and explain all of your options. There is no reason to be embarrassed by your smile if an old dental implant breaks or cracks. Come in for a consultation and we will explain how we can fix your dental implant, using the same technologies and standards of quality that we use on all of our new dental implants.
Depending on the severity of the damage to your implant, replacing a dental implant can be done in only one or two visits to our office.
Typically, dental implants are very sturdy, but sometimes if a dental implant was not aligned properly or your bite changes, a dental implant can crack or break. If you have an old, broken dental implant, we can use our Biohorizions technologies to replace or repair your damaged implant. At our office in Cary, NC, we have the expertise and technology to completely restore your smile from start to finish.
With proper care, Dr. Rob’s fully-guided dental implant system is extremely successful. This system, known as Omega Teeth®, removes all the guesswork which means each implant goes exactly where it needs to go. The most common reason why implants fail is that the doctor blindly places them at a bad angle or in the wrong position. With Omega Teeth®, that never happens.
Dental implant procedures sound invasive and painful but most patients report only feeling manageable pain post-op. The mouth is excellent at healing itself and does so rather quickly.During the procedure, we use IV sedation to make sure the patient is comfortable and relaxed.
A lot of patients come into our office wanting a dental bridge but very few actually leave our office with one. That’s because we always recommend that our patients get dental implants instead of bridges because they’re longer-lasting and come with a lot less maintenance. Dental implants are more expensive than bridges but, in the long run, you will actually save money by investing in a dental implant. Bridges need replacing — most implants don’t.
After surgery, dental implant patients walk out of the Stanley Dentistry office in Cary, NC with new teeth. As part of the procedure, Dr. Robert Stanley fits patients with a temporary dental prosthesis that they wear during the six-month healing process. After that time is up, they come in and get their permanent crowns, which are specially made to accommodate their needs and wants.While some patients do request prescription painkillers post-op, many patients report needing only acetaminophen and ibuprofen to manage the pain. Dental implant patients typically get back to their everyday routines within a few days after their surgery.
To schedule a consultation with Dr. Bobbi Stanley, simply contact our office in Cary, North Carolina, either by phone or through our online appointment request system.
Insurance coverage varies, but our team at Stanley Dentistry will assist in verifying your benefits and maximizing coverage for eligible services.
Your initial visit involves a comprehensive evaluation of your sleep health, discussion of symptoms, and potential diagnostic testing. Dr. Bobbi Stanley will then create a personalized treatment plan tailored to your specific needs.
Stanley Dentistry stands out for its expertise, personalized care, and a comprehensive approach. We collaborate closely with physicians to provide holistic sleep disorder management.
Customized oral appliances reposition the jaw to improve airflow and prevent airway collapse. They are comfortable, non-invasive alternatives to CPAP machines, promoting better sleep quality.
Dr. Bobbi Stanley is a distinguished professional with extensive experience in dental sleep medicine. Her commitment to staying updated on advancements ensures patients receive the latest, most effective treatments for sleep disorders.
Individuals diagnosed with primary snoring, mild-to-moderate obstructive sleep apnea, or severe obstructive sleep apnea (CPAP intolerant) may be candidates for oral appliance therapy.
Yes, oral appliance therapy is a viable alternative for individuals with severe obstructive sleep apnea who find CPAP machines intolerable.
Dr. Stanley conducts a thorough assessment, considering individual sleep patterns and preferences. The oral appliance is custom-designed to fit seamlessly, ensuring optimal comfort and effectiveness.
Dental Sleep Medicine focuses on the diagnosis and treatment of sleep-related breathing disorders, utilizing oral appliances to manage conditions like snoring and sleep apnea. It complements traditional dentistry by addressing specific sleep-related issues.
Yes, dentists check for cancer of the mouth during routine oral exams. During a routine exam, your dentist will look for signs and symptoms of oral cancer such as lumps, swellings, or discolored patches in or around your mouth. They may also feel the tissues of your mouth to check for any unusual bumps or changes in texture that could be an indication of cancer. Dentists can also use innovative technology to screen for tissue abnormalities and enhance the visualization of pre-cancers, cancer, and other disease processes. By utilizing this technique of natural tissue fluorescence, dentists are better able to examine the oral mucosa and provide accurate diagnoses. If something is found, your dentist will suggest further diagnosis and treatment. It's important to remember that early detection of oral cancer can greatly improve your chances of successful treatment, so it's important to have regular dental check-ups. Your dentist is an essential part of your overall health and should always be included in the healthcare team.
Yes, periodontal disease is a very serious condition and can result in multiple health problems if left untreated. Periodontal disease is an infection of the gums that can damage the tissue and bones supporting the teeth, leading to tooth loss. It can also contribute to other medical conditions such as diabetes, heart attack, stroke, bacterial pneumonia, and even an increased risk of pre-term birth in pregnant women. If left untreated, periodontal disease can cause severe pain and discomfort, as well as the potential for tooth loss. That’s why it’s important to maintain good oral hygiene habits and visit your dentist regularly so that any signs or symptoms of periodontal disease can be treated promptly. Taking care of your gums and teeth is essential for maintaining overall health and well-being! Periodontal disease often starts with bleeding gums. If you think you may have periodontal disease, it’s important to see a dentist as soon as possible. The sooner the condition is diagnosed, the easier it will be to treat and prevent further damage. Your dentist can help diagnose the condition and provide you with a treatment plan to help reverse the effects of periodontal disease and restore your mouth’s health.
Dental insurance plans typically cover a percentage of the cost of procedures such as cleanings, X-rays, and fillings. The exact percentage varies depending on the plan and the type of procedure. Many plans also cover preventive care, such as sealants. However, more extensive procedures such as crowns and root canals may not be fully covered, or may only be partially covered. It’s important to check with your insurance company for details about your plan. Additionally, many insurance plans also have annual limits, so it’s important to check the maximum that your plan will cover each year. It's important to note that some dental procedures may not be covered by insurance at all. Cosmetic treatments such as whitening and veneers are usually not covered. Additionally, some plans may offer discounts for certain procedures but not cover them in full.
No, fluoride treatments are not just for kids. Adults can benefit from fluoride treatments too. Fluoride helps to strengthen and protect tooth enamel, which is especially important for adults who may be more prone to cavities due to weakened enamel from years of wear and tear. Also, fluoride treatments can help strengthen the enamel around crowns or restorations. While children often benefit from stronger fluoride concentrations in toothpastes and mouth rinses, adults may opt for professional fluoride treatments to get the extra strength protection they need. Professional fluoride treatments are highly concentrated and cover all surfaces of the teeth, providing additional protection against cavities and other dental issues. Regular fluoride treatments can also help to reduce tooth sensitivity. Talk to your dentist about whether fluoride treatments are right for you.
A comprehensive oral exam entails assessment of gums and bite, screening for oral cancer, taking intra-oral camera photos, 3D digital impressions, obtaining digital radiographs, and Near-Infrared Imaging (NIRI) for detecting cavities without the use of x-rays. The dental practitioner will also discuss the patient's oral hygiene habits, diet, and risk factors for oral diseases. Any necessary treatments may be discussed at this time, such as tooth decay fillings or crowns. The dental professional will suggest the type of cleaning needed. Lastly, the dentist may offer advice on how to care for your teeth, such as brushing and flossing techniques, and recommended products. Overall, a comprehensive oral exam is an important part of maintaining good oral health. It allows the dentist to detect any potential issues early on and recommend necessary treatments that can help keep your teeth and gums healthy long-term.
Dental fillings are not permanent and may need to be replaced over time. Depending on the type of filling, the amount of wear and tear your teeth experience, and the type of material used in the filling, you may need to have it replaced every five to fifteen years. Your dentist will be able to assess the condition of the filling and determine if it needs to be replaced. It is important to have regular dental checkups so your dentist can monitor the condition of your fillings. If a filling needs to be replaced, the old material will be removed and a new one placed in its place. Just like other dental treatments, the cost of a filling will depend on the complexity of the procedure and type of material used. Be sure to ask your dentist for information about the cost of the procedure and any insurance coverage you may have.
To help combat bad breath, brush your teeth twice a day and floss regularly. It is also important to scrape your tongue daily to remove bacteria that can cause bad breath. Additionally, avoid foods with strong odors such as garlic and onions, cut down on sugary drinks and snacks, and stay hydrated by drinking water throughout the day. If lifestyle changes don't improve symptoms, it might be helpful to visit a dentist for a professional cleaning or other treatment options. Quitting smoking and drinking alcohol can also help reduce bad breath. Finally, make sure to keep your dentures, retainers, or other dental appliances clean. Following these tips can help you keep your breath fresh and prevent future bad breath.
It is recommended that you floss your teeth at least once a day. Flossing is an important part of an overall oral hygiene routine and helps to remove plaque, food particles, and other debris that may be trapped between your teeth. Flossing also helps to massage the gums and reduce inflammation. Make sure to use proper flossing technique for the best results. Start by using a length of floss, about 18 inches long, and wrap each end around your index fingers. Use a gentle sawing motion to move the floss between your teeth. When you reach the gum line, curve the floss into a C-shape against the tooth and carefully scrape along the side of each tooth. Use a fresh section of floss as you move from one tooth to the next. This helps to ensure that you are removing any plaque or other debris on each tooth surface. As the saying goes "you only have to floss the teeth you wish to keep".
Dentists typically use a variety of materials to fill cavities and restore teeth. These materials, such as amalgam, composite resin, and glass ionomer, can be chosen depending on the individual case. Amalgam is a silver-colored metal alloy that has been used for many years to treat cavities. It is very strong and durable, and it can last for many years in the mouth with proper care. However, due to safety issues, this material is not used at Stanley Dentistry. Composite resin is a tooth-colored material that is used to fill cavities and restore the shape of teeth. It bonds directly to the tooth, making it an ideal choice for cosmetic dental treatments. Glass ionomer is a special type of cement that releases fluoride, which can help to protect the teeth from decay. It is often used to fill cavities in children and can be matched to the color of their natural teeth.
If your teeth look “long”, it could be a sign of gum recession caused by periodontal disease. Periodontal disease is an infection of the gums and other structures that support your teeth. It can cause irreversible damage if left untreated, including tooth loss. For this reason, it’s important to seek help from your dentist right away if you suspect that you are suffering from gum recession. Your dentist can diagnose the condition and develop a plan to help you reverse or slow down the progression of the periodontal disease, protecting your teeth and gums from further damage. Treatment may include scaling and root planing, antibiotics, gingival grafts, or other procedures. Taking care of your teeth with regular brushing, flossing, and checkups can help to prevent gum recession caused by periodontal disease. If you believe that your teeth look “long” due to gum recession, don’t wait—speak to your dentist as soon as possible. With the right care, you can protect your teeth and gums from the effects of periodontal disease.
Like most other dental offices, Stanley Dentistry recommends that children get sealants soon after their molars erupt. It’s a safe, easy, and pain-free way to keep your child’s teeth healthy. In the long run, they save families a lot of money.
Advanced gum disease is not something that you can treat at home. Periodontal disease is not just “dirty” gums — it’s a continually growing disease in the gums. That disease won’t just go away on its own, unfortunately. To prevent gum disease, we encourage our patients to brush and floss regularly.If that still won’t keep the gums healthy and pink, we recommend getting special anti-bacterial toothpaste that can help fight off early gum disease.
We typically recommend scaling (or deep cleaning) for patients who have periodontal disease. Scaling includes removing all of the disease-causing bacteria from the gumline. Although scaling can mean a much cleaner, healthier smile, it will not reverse damage caused by periodontal disease.A loose tooth, which is a byproduct of gum recession, is not something that can be fixed with scaling. However, a mixture of gum grafts and bone grafts may be able to help save it. The earlier you detect a loose tooth, the better. If you notice a slightly loose tooth, come into the Stanley Dentistry office immediately.
The number one cause of periodontal disease in our patients is poor oral maintenance. Not brushing, flossing, or going to the dentist for regular cleanings can cause gum disease. The best way to avoid periodontal disease is to take your oral health seriously.
One of the most common side-effects of severe or late-stage periodontal disease is gum recession. As bacteria grow in the gums, the ability for the gums to stay attached to the teeth deteriorates. The teeth will begin to look “long” as the gums gradually pull away from the teeth.Unfortunately, gum recession is permanent. The gums are very resilient but they cannot grow back without some assistance. If your gum recession is severe, we will recommend a gum graft which is a way to artificially repair recessed gums. Dr. Rob uses artificial tissue to “graft” over the affected area, similar to a skin graft.If gum grafts sound a little intimidating, there is an alternative. For less severe cases, we can use a kind of collagen called AlloDerm that regenerates gum tissue. If you’re interested in getting gum grafting or Alloderm at the Stanley Dentistry office, schedule a consultation today.
Insurance will, in many cases, cover a portion of the cost of fillings. Typically, it’s about a 60% coverage rate if the policy-owner has paid their deductible. Of course, this depends on your specific plan. During your consultation, we will give you a free insurance check to see what your insurance will and won’t cover.
If a filling falls out, you will undoubtedly notice. Not only will you have the physical filling as proof, but you’ll also have an exposed nerve that will feel just as painful as it sounds. If this happens, make an appointment with your dental specialist immediately.In other cases, fillings wear out or crack. Patients don’t always notice when these things happen because they don’t leave the tooth completely exposed (so there typically isn’t a lot of pain). If a filling cracks, you may experience some hot and cold sensitivity but chances are, you won’t know what’s wrong until you visit your dentist. That’s why it’s best to see one of our doctors every six months so they can diagnose any latent filling problems.
Unfortunately, fillings don’t last forever. Fillings typically last around five to ten years though some patients keep their fillings for fifteen to twenty years. The size of the filling is perhaps the biggest factor when considering how long it’ll last. Large fillings have a much higher likelihood of falling out whereas small fillings can frequently last for decades.
No one wants to hear that they have a cavity. For kids (and parents), “cavity” sounds like a death sentence, and “filling” signifies a long, painful, and expensive procedure. Luckily, that couldn’t be further from the truth. In most cases, cavities require only a short, pain-free appointment to our office in Cary, North Carolina.During a cavity filling, our dentists administer a local anesthetic to numb the affected area. They then use a small drill to remove the decay from the tooth and kill any existing bacteria. Once the tooth is ready, the dentist places the filling.At Stanley Dentistry, we typically use a composite resin material for the filling. Composite fillings are tooth-colored and look just like natural teeth. During the procedure, one of our dentists will place the composite (which looks like a paste) into the cleaned cavity. The composite will naturally take on the shape of the cavity as the dentist places it. After the cavity is filled, the dentist will use an ultraviolet light to “cure” (or harden) the composite. Post-op, your dentist will ask you to bite down to make sure the cavity hasn’t affected your natural bite.
Our dentists use a local anesthetic to numb the area before completing the filling. This ensures that the patient is comfortable and pain-free for the entirety of the procedure. After the filling, most patients experience little to no discomfort and no downtime.
We know that many people have anxiety when it comes to going to the dentist so we’ve tried to create a calm, soothing environment for everyone who walks through the door. We offer blankets, noise-canceling headphones, and other amenities (located in our comfort menus) to make every visit to the Stanley Dentistry office a good one.
Frenectomies can be life-changing for babies and kids who need them. They can make everything from eating and drinking to speaking and smiling that much easier. Children who are tongue or lip-tied need to get frenectomies when they’re young because the healing process is significantly easier when they’re little. A frenectomy on an adult is doable but, like with tonsillectomies, it requires a longer healing period and can come with additional complications.
Tongue ties are more likely to cause problems with speech than lip ties.
For one to two weeks after the surgery, patients should stick to a soft food diet. Ice cream, yogurt, mashed potatoes, and apple sauce are all great post-frenectomy foods.
A frenectomy may make it easier for a child to smile.
A tongue or lip tie “revision” is another way to say frenectomy.
Lip tie and tongue tie are not the same things. Tongue ties happen when the lingual frenum is too thick or stiff, causing speech impairments or difficulty eating. Lip ties affect the labial frenum, which is the small band of flesh that connects the upper and lower gums to the lips. Frenectomies, along with proper therapy, can treat both lip ties and tongue ties.
If a tongue-tie or lip-tie is affecting your child breastfeeding, we recommend getting them into the office for a frenectomy as soon as possible. The procedure is very non-invasive and can mean the difference between your baby gaining needed weight during their first year.
As with all surgeries (even minor ones), frenectomy patients should expect some minor bleeding and swelling post-op. Because we use a tiny laser to perform the surgery, the bleeding is very minimal. For pain, we recommend using Tylenol and Advil. Within a week or two, frenectomy patients should be feeling back to normal!
Usually, insurance companies will cover sealants for children. If you want to make sure your insurance covers sealants, you can speak with our insurance specialist before your appointment.
Sealants are non-invasive and don’t require any surgery, sedation, or painkillers. Sealants are made of plastic and do not pose any harm to your child.
Placing sealants is simple, fast, and painless. Dentists use an acidic gel to slightly roughen the chewing surface of the tooth. This increases the tooth’s ability to bond to the plastic sealant. After rinsing and drying the tooth, the dentist will place the sealant and harden it using a blue light.
Children usually get their first molars at six and their second molars at twelve. If you notice that your child’s molars have erupted, schedule an appointment at our Cary office. It’s best to put sealants on early to ensure that the molars start off (and stay) healthy.
Like most other dental offices, Stanley Dentistry recommends that children get sealants soon after their molars erupt. It’s a safe, easy, and pain-free way to keep your child’s teeth healthy. In the long run, they save families a lot of money.
To find out if Invisalign is right for you, call us to schedule your consultation or schedule online today.
We are more than happy to help you fit the cost of your Invisalign into your monthly budget. We offer 0% financing to better serve you.
Invisalign is extremely personalized — no two people have the exact same treatment. This means a gamut of different prices, depending on the length of treatment and severity of the case. During your Invisalign consultation, Dr. Bobbi will take a look at your teeth and give you an estimate of how expensive the treatment will be.
The obvious benefit of Invisalign is aesthetics. A major reason adults ask for Invisalign is that they don’t like the appearance of traditional braces. Invisalign offers patients a nearly-invisible way to straighten their teeth — no metal required.Another pro of Invisalign is ease and comfort. While not pain-free, you can take out your Invisalign trays whenever you want. This, however, means that most Invisalign treatments take longer than traditional braces. Invisalign also will not work in severe cases of misalignment.
Unfortunately, we cannot give Invisalign treatment to patients with dental implants. Even if you’re only straightening one tooth, Invisalign inadvertently moves all of the teeth in that arch. An implant, unlike a real tooth, cannot move once a doctor places it so it would cause the Invisalign treatment to be unsuccessful. We recommend that patients who need both get Invisalign first and then get dental implants.
Patients wear each set of aligners for a period of ten days to two weeks, depending on their unique case. Some patients finish treatment within four months while other, more difficult cases can take up to eighteen months. When you come in for a consultation, we will discuss your options and be able to determine the length of your Invisalign treatment.
To get the best results possible, patients have to wear their Invisalign aligners for 22 hours out of the 24 hour day. Those two extra hours are solely for eating. The most important rule for Invisalign wearers: take out your aligners before you eat anything.Food can damage and stain the aligners or get stuck between your teeth and the aligner, encouraging tooth decay. Coffee, soda, and tea have a similar effect. The only thing you should be consuming when wearing your Invisalign is water. For everything else, take them out before digging in.
Invisalign and braces basically do the same thing. They use constant pressure to gently push the teeth into alignment over an extended period of time. Braces use metal and ceramic to do this while Invisalign uses sturdy plastic.Invisalign is not necessarily better than braces since they can both typically accomplish the same task. In some cases, our doctors may recommend braces over Invisalign because of the severity of the case (if the teeth are too tightly packed, Invisalign won’t work). In other cases, they may recommend Invisalign because it’s easier on the patient.
Although most patients say Invisalign is less painful than traditional braces, there is a little pain that comes along with Invisalign. Patients typically experience some discomfort when they first put in a new aligner, but that’s only temporary. We recommend taking acetaminophen or ibuprofen during that first day to alleviate the pain.
The safety of general anesthesia at the dentist is a common concern for patients. However, you can rest assured that your treatment will be safe when an experienced staff anesthesiologist is present, as is the case here at Stanley Dentistry, who has the necessary knowledge and experience to ensure a safe outcome. The anesthesiologist will be able to monitor your vital signs throughout the procedure and take any necessary steps to make sure you are safe. This empowers your dentist to focus their efforts on your dental care. Collectively, your anesthesiologist and dentist will work in tandem should any complications arise, to ensure that they are quickly and safely addressed. So, you can feel confident knowing that when an experienced staff anesthesiologist is present, you will be getting safe treatment from the dentist.
Deciding between laughing gas and oral sedation is an important decision that should be made in consultation with your dentist. Both methods of sedation are effective for relieving anxiety and helping you stay relaxed during dental procedures. Laughing gas, or nitrous oxide, is a mild sedative administered through a mask that you breathe in. It works quickly and wears off shortly, meaning that it's ideal for shorter procedures. Nitrous oxide is also relatively inexpensive, making it a cost-effective option. Oral sedation involves taking a pill prior to the procedure that will help you relax. It's a great option for those with moderate to severe anxiety, or for procedures that take longer than an hour. Oral sedation is stronger than laughing gas, so it may take longer for the effects to wear off. Your dentist will be able to provide you with more information on which sedation method would be best for you, so make sure to ask any questions you may have. Both laughing gas and oral sedation are safe and effective, so you can be assured that either option will work for you.
Lip tie and tongue tie are not the same things. Tongue ties happen when the lingual frenum is too thick or stiff, causing speech impairments or difficulty eating. Lip ties affect the labial frenum, which is the small band of flesh that connects the upper and lower gums to the lips. Frenectomies, along with proper therapy, can treat both lip ties and tongue ties.
At Stanley Dentistry, we pride ourselves on offering stress and pain-free oral surgery. For many of our surgeries, we use IV sedation so patients don’t feel or remember the procedure at all. When they wake up from surgery, we prescribe either prescription pain killers or over-the-counter drugs such as acetaminophen and ibuprofen to manage any discomfort.Compared to other parts of the body, the mouth heals incredibly quickly. Our patients usually only need a few days of recovery after oral surgery before they’re back in their normal routine.
Laughing gas is the perfect way to avoid dental anxiety, pain, and complications surrounding the gag reflex. Come in for a consultation to see if our dental experts recommend using nitrous oxide at your next procedure.
Compared to most forms of sedation dentistry, laughing gas has very few side effects. Most patients walk out of the office post-procedure feeling fine and are able to go right back to their daily routine. Occasionally, a patient will experience: Shivering, Nausea, Sweating, or Fatigue. It’s best to eat lightly before the procedure and to rest five minutes post-procedure to keep these side effects from occurring.
Nitrous oxide works quickly because, unlike other forms of sedation, the body doesn’t metabolize laughing gas. Instead, the gas is expelled through your breath in a matter of minutes, which means the patient has no waiting period or “hangover” at the end of the procedure. The initial onset of inhalation sedation usually takes a few seconds and the recovery time is around three to five minutes.
Nitrous oxide offers non-invasive, rapid, adjustable sedation. Unlike some other sedation methods, the depth of sedation can be adjusted and the dentist can quickly decrease the sedative effects. No other method of sedation gives the dentist this much control. Our doctors administer nitrous oxide gas through a tube that connects to a small mask. During the procedure, a tank will continually send the gas into the mask, keeping you sedated for the entire time.
Nitrous oxide is completely safe and is the most common type of sedation in dentist offices across the globe. The gas is colorless, sweet-smelling, and doesn’t irritate the lungs, nose, or throat. Many dentists prefer laughing gas over other forms of sedation because it works fast and has reversible effects.
Diazepam is an older drug that doctors have been using for years to help anxious patients. Unless you are allergic to the drug, there are no harmful side-effects. Doctors like using diazepam in particular because it’s fast-acting and leaves the system quickly and easily.
With oral sedation, you can still breathe normally but you won’t be as lucid and you won’t remember the sights, smells, and sounds of the procedure after the sedative wears off. This makes it perfect for patients who feel intense dental anxiety.If you are undergoing a serious procedure, we most likely will prescribe IV sedation or inhalation dentistry since those do a better job of alleviating pain. While oral sedation does lessen pain, it’s real purpose lies in reducing anxiety.
IV sedation can be the perfect solution for older children or adults who experience anxiety at the dental office. To ensure patient safety, we do require anyone who is interested in IV sedation to get a physical before the procedure. We are happy to discuss IV sedation with you in more detail! Just give us a call!
Once the medicine is administered, the calming effects of IV sedation will start within a few moments. The amount of time it will take for the effects to wear off will depend on the length of the procedure. Because IV sedation can cause drowsiness, we recommend bringing a friend or family member who will be able to drive you home after your appointment.
IV sedation allows patients to enter a sleep-like state throughout their dental procedure. Patients can still breathe on their own with IV Sedation and there is no breathing tube. The medicine is administered via an “indwelling catheter,” which is a very thin, plastic tube inserted into a vein close to the surface of the skin, usually in the arm or back of the hand.
If you have a dental emergency, it can be worrisome. That is why Stanley Dentistry is available to care for you 24 hours a day. We will provide the highest-quality emergency dental services to ensure you get the treatment you need as quickly and safely as possible. Contact us today to schedule an appointment for your emergency dental care needs. We look forward to providing you with the best in emergency dental care!
For those in Cary, NC looking for dental emergency services, the best option is to go to an emergency dentist. Stanley Dentistry offers emergency dental care for those in need. We provide comprehensive treatments and can address a variety of dental ailments, ensuring you receive the best possible care available. With years of experience in the field and four doctors available, Stanley Dentistry is well-equipped to handle any kind of dental emergency. We offer a wide range of services including extractions, root canals, restorations, dental implants, and more. Our team of highly experienced professionals are available 24 hours a day to help with any dental emergency you may have.
A cracked tooth can range from being a minor crack to a severe fracture. Minor cracks may not be serious and cause minimal pain, while more significant fractures can be quite serious and require urgent dental care. The seriousness of a cracked tooth will depend on the type and extent of the damage. If there is only a small crack, the damage may be minor and usually not require treatment. However, if the fracture is more severe, it can lead to significant pain and the need for more intensive treatment such as root canal therapy. It is important to get a cracked tooth evaluated by a dentist to determine what type of treatment is necessary. Prompt diagnosis and treatment can help to protect the tooth from further damage, reduce pain, and prevent infection. If left untreated, a cracked tooth can eventually lead to tooth loss. Therefore, it is important to get any suspected cracked teeth evaluated and treated as soon as possible.
Advanced gum disease is not something that you can treat at home. Periodontal disease is not just “dirty” gums — it’s a continually growing disease in the gums. That disease won’t just go away on its own, unfortunately. To prevent gum disease, we encourage our patients to brush and floss regularly.If that still won’t keep the gums healthy and pink, we recommend getting special anti-bacterial toothpaste that can help fight off early gum disease.
The number one cause of periodontal disease in our patients is poor oral maintenance. Not brushing, flossing, or going to the dentist for regular cleanings can cause gum disease. The best way to avoid periodontal disease is to take your oral health seriously.
One of the most common side-effects of severe or late-stage periodontal disease is gum recession. As bacteria grow in the gums, the ability for the gums to stay attached to the teeth deteriorates. The teeth will begin to look “long” as the gums gradually pull away from the teeth.Unfortunately, gum recession is permanent. The gums are very resilient but they cannot grow back without some assistance. If your gum recession is severe, we will recommend a gum graft which is a way to artificially repair recessed gums. Dr. Rob uses artificial tissue to “graft” over the affected area, similar to a skin graft.If gum grafts sound a little intimidating, there is an alternative. For less severe cases, we can use a kind of collagen called AlloDerm that regenerates gum tissue. If you’re interested in getting gum grafting or Alloderm at the Stanley Dentistry office, schedule a consultation today.
In the past, receiving a crown took at least two appointments, separated by a two-week wait period. With the CEREC 3D Computer Aided Design and Computer Aided Manufacturing (3D/CAD/CAM) system, we can create ceramic restorations in the course of a single treatment session.
During a dental crown procedure, a dentist will use a local anesthetic to numb the tooth that is being restored. The cementing process is fairly quick and, thanks to the anesthetic, completely painless. Post-procedure, most patients experience some mild discomfort that they can alleviate with acetaminophen and ibuprofen.
The CEREC mill starts with a small block of porcelain that it then files down into the shape of the scanned tooth. We choose to use porcelain for our crowns because it’s durable, aesthetically pleasing, and stain-resistant.
If a filling falls out, you will undoubtedly notice. Not only will you have the physical filling as proof, but you’ll also have an exposed nerve that will feel just as painful as it sounds. If this happens, make an appointment with your dental specialist immediately.In other cases, fillings wear out or crack. Patients don’t always notice when these things happen because they don’t leave the tooth completely exposed (so there typically isn’t a lot of pain). If a filling cracks, you may experience some hot and cold sensitivity but chances are, you won’t know what’s wrong until you visit your dentist. That’s why it’s best to see one of our doctors every six months so they can diagnose any latent filling problems.
Frenectomies can be life-changing for babies and kids who need them. They can make everything from eating and drinking to speaking and smiling that much easier. Children who are tongue or lip-tied need to get frenectomies when they’re young because the healing process is significantly easier when they’re little. A frenectomy on an adult is doable but, like with tonsillectomies, it requires a longer healing period and can come with additional complications.
Tongue ties are more likely to cause problems with speech than lip ties.
For one to two weeks after the surgery, patients should stick to a soft food diet. Ice cream, yogurt, mashed potatoes, and apple sauce are all great post-frenectomy foods.
A frenectomy may make it easier for a child to smile.
A tongue or lip tie “revision” is another way to say frenectomy.
If a tongue-tie or lip-tie is affecting your child breastfeeding, we recommend getting them into the office for a frenectomy as soon as possible. The procedure is very non-invasive and can mean the difference between your baby gaining needed weight during their first year.
At Stanley Dentistry, we pride ourselves on offering stress and pain-free oral surgery. For many of our surgeries, we use IV sedation so patients don’t feel or remember the procedure at all. When they wake up from surgery, we prescribe either prescription pain killers or over-the-counter drugs such as acetaminophen and ibuprofen to manage any discomfort.Compared to other parts of the body, the mouth heals incredibly quickly. Our patients usually only need a few days of recovery after oral surgery before they’re back in their normal routine.
Oral surgery includes procedures that go beyond the typical scope of family dentistry (fillings, crowns, etc.). These surgeries typically involve some sort of sedation.
Our doctors complete oral surgeries every single day. With more than twenty-five years of experience, Dr. Bobbi and Dr. Rob know everything there is to know about surgical dentistry. They use state-of-the-art techniques and cutting-edge technology to ensure each and every patient’s safety. You can rest assured that at Stanley Dentistry, our doctors will do everything they can to make your experience as stress and pain-free as possible.
As with all surgeries (even minor ones), frenectomy patients should expect some minor bleeding and swelling post-op. Because we use a tiny laser to perform the surgery, the bleeding is very minimal. For pain, we recommend using Tylenol and Advil. Within a week or two, frenectomy patients should be feeling back to normal!
Unfortunately, fillings don’t last forever. Fillings typically last around five to ten years though some patients keep their fillings for fifteen to twenty years. The size of the filling is perhaps the biggest factor when considering how long it’ll last. Large fillings have a much higher likelihood of falling out whereas small fillings can frequently last for decades.
No one wants to hear that they have a cavity. For kids (and parents), “cavity” sounds like a death sentence, and “filling” signifies a long, painful, and expensive procedure. Luckily, that couldn’t be further from the truth. In most cases, cavities require only a short, pain-free appointment to our office in Cary, North Carolina.During a cavity filling, our dentists administer a local anesthetic to numb the affected area. They then use a small drill to remove the decay from the tooth and kill any existing bacteria. Once the tooth is ready, the dentist places the filling.At Stanley Dentistry, we typically use a composite resin material for the filling. Composite fillings are tooth-colored and look just like natural teeth. During the procedure, one of our dentists will place the composite (which looks like a paste) into the cleaned cavity. The composite will naturally take on the shape of the cavity as the dentist places it. After the cavity is filled, the dentist will use an ultraviolet light to “cure” (or harden) the composite. Post-op, your dentist will ask you to bite down to make sure the cavity hasn’t affected your natural bite.















































































































































































































































































































































































































