How to Choose a Dentist in Cary or Raleigh (And Why 30+ Years of Neighbors Can't Be Wrong)
Let's chat about what dental practice worth trusting for the long haul. Here's what we tell patients to look for.
Omega Teeth® is a proven implant system that uses high quality materials and precision guided placement to achieve the best results.
Omega Teeth is a revolutionary solution for individuals who have long struggled with various dental issues. It offers comprehensive full-mouth dental implant in Cary restorations, similar to all-on-4, all-on-x, TeethXpress, teeth in a day, teeth tomorrow, and clear choice. However, when compared to other alternatives in the market, Omega Teeth stands out with its superior solutions, minimal discomfort, expedited surgery and recovery, enhanced aesthetics, and long-lasting implants and teeth. Most importantly, it eliminates the persistent dental problems that patients have endured throughout their lives, putting an end to the continuous financial burden of fixing recurring dental issues.

Meet Dr. Robert Stanley, DDS, Ph.D., Ms, also known as the Smile Engineer®. With a unique combination of a dental degree and a Ph.D. in engineering, Dr. Stanley possesses exceptional qualifications to offer comprehensive full-mouth restorative treatments. After all, when it comes to a solution like a screw-retained bridge, who possesses a deeper comprehension of screws and bridges than an engineer?
No patient likes seeing a surprise charge on their final bill which is why Dr. Stanley created the unique Omega Teeth® financing system. Most dental implant systems give patients “à la carte” financing. This means the patient opts to pay or not pay for individualized pieces of the procedure, from sedation to the actual pieces of the implant. To cut costs, patients will opt-out of paying for essential pieces like abutments. This can lead to serious problems down the road.
This style of financing also makes hidden fees all the more prevalent. If something comes up in the middle of the surgery and the doctor uses one extra tool or an extra hour of time to ensure the cost of dental implants Cary, NC residents trust stays a consistent rate.
































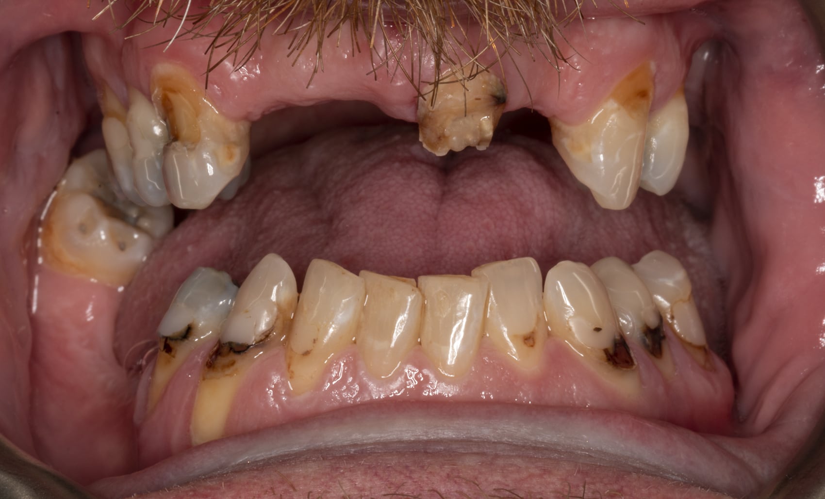
A dental implant is a small component that is positioned in the jaw to replace the root of a missing tooth. A crown can be attached and held in place by a single dental implant or a bridge may be attached to multiple dental implants. Your jawbone bonds to the dental implant to provide permanent support for crowns and bridges. Dental implants are the standard of care for tooth replacement.
Dental implants are just as strong as natural enamel. Plus, because they aren’t susceptible to decay, you won’t ever have to worry about cavities.
Dental implants are incredibly realistic, whether you get one or a whole arch of them. Post-procedure, no one will be able to notice a difference between your implant and your natural teeth. After a while, you might forget too!
Once a dental implant fuses with the bone, it’s stability and longevity is unmatched by any other dental procedure. The crowns on dental implants can become worn after a decade of wear, but the implant itself rarely (if ever) needs maintenance. Most of the patients who get their implants done at Stanley Dentistry have them for life. It’s important to remember that an important factor in the longevity of implants is care. Here at Stanley, smoking and poor dental hygiene are two of the biggest causes of implant failure.
Dental implant procedures sound invasive and painful but most patients report only feeling manageable pain post-op. The mouth is excellent at healing itself and does so rather quickly.During the procedure, we use IV sedation to make sure the patient is comfortable and relaxed.
We don’t want to toot our own horn, but we are proud of our reputation. We feel that it is a reflection of the hard work and dedication we have committed to our profession, as well as a representation of the passion we have for providing exceptional care to our patients. At Stanley Dentistry, our goal is to earn our patient’s trust and loyalty.
We’re honored to have been awarded 23 Best Dentist awards by the Triangle community. From the Western Wake County Maggy Awards to the News and Observers Raleigh’s Best, our patients have been vocal in their support!
Whether you need a routine cleaning, a second opinion, or a complete smile transformation, the Stanley Dentistry team is ready for you. Open availability, no pressure, just exceptional care from a team Cary families have trusted for over 30 years.
Become a Patient Today

