
Why is My Tooth Hurting?
Even the toughest patient will reach a point where they can no longer disregard a sore tooth.

Even the toughest patient will reach a point where they can no longer disregard a sore tooth.
There’s no denying it: tooth pain or sensitivity hurts. We get phone calls every week from people who’ve tried to ignore a painful tooth to no avail. Often times, they’ve pushed back going to the dentist for months in the hopes that the problem will fix itself. Unfortunately, with teeth, that rarely happens. Even the toughest patient will reach a point where they can no longer disregard a sore tooth.
Teeth aren’t like your more visible body parts. When one hurts, it won’t bruise or bleed. If the sore tooth is a molar, hidden in the back of your mouth, you might not see any physical changes at all. This makes self-diagnosing dental problems especially difficult. Beyond just knowing that something is wrong, patients are usually pretty clueless.
That’s where we come in. If your tooth is hurting, don’t put off a dental visit. A painful tooth is trying to tell you something important about your health. The longer you wait to come in, the higher the chance we’ll have to pull the sore tooth. While pulling a tooth isn’t the end of the world (thanks to dental implants), we still want to try to save your natural tooth if possible.
The question then becomes “save from what?” Most everyone has heard of tooth decay but is that the only reason your tooth is hurting? And why can dentists fix some forms of tooth decay but not others?

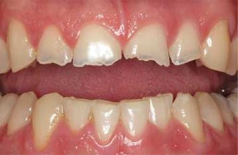
There are a few different reasons why your tooth may be hurting that don’t involve cavities or decay. In our office, we see a lot of patients with gum recession and/or enamel erosion experiencing tooth sensitivity and pain. Both of these conditions expose nerves in the teeth, forcing patients to stay clear of certain foods (particularly anything cold or hot).
With gum recession, a combination of aging and periodontal disease (gum disease) causes the gums to pull away from the teeth. The gums play an important role in protecting the tooth roots from exposure. Without the gums acting as a barrier, your teeth can easily become sore and sensitive. If this is the cause of your tooth pain, Dr. Rob will prescribe a gum grafting procedure to cover the exposed roots.
The other common dental dilemma that’s linked to tooth pain is deteriorating enamel. Enamel is what makes your teeth strong enough to endure a lifetime of eating apples and steak. Without it, you’d have an endless number of cavities and severe tooth sensitivity. People who have a highly acidic diet (lots of soda and sour candy) frequently have worn down enamel. This doesn’t mean the enamel is completely gone, it just means it isn’t quite as strong as it could be. Even just a slight reduction in enamel strength can lead to heightened sensitivity and discomfort. If the enamel reduction is severe, Dr. Bobbi might prescribe veneers or crowns to cover and protect the damaged teeth.

Although not everyone calls it by its proper name, a surprisingly large number of people grind their teeth at night. Without a proper diagnosis and treatment plan, bruxism can wreak havoc on patients’ mouths. Constant grinding or clenching wears down the enamel and can drastically change the shape and strength of teeth over time. In its later stages, bruxism related tooth pain may be coming from small fractures in the teeth that patients can only feel — not see.
If you frequently wake up to intense jaw pain, it’s time to go to the dentist. Catching bruxism early is the key to keeping tooth pain at bay. Dentists can give bruxism sufferers a special mouthguard to wear at night to keep them from grinding.
Although not all toothaches stem from decay, a large percentage of them do — especially for people who are lax on their six-month cleanings. Small amounts of tooth decay are painless and invisible to the average person’s eye but as the decay develops (growing into an infection), it’ll become painful. If the decay is too big for a traditional filling, your dentist may recommend a root canal. In certain cases, decay can become so bad that the tooth dies. A dead tooth no longer has a fresh blood supply and, without proper care, will fall out on its own.
When our doctors notice a dead tooth, they recommend that the patient get the tooth removed. Once the tooth is gone, the patient can get a dental implant in its place.
“Toothache” is a general term that could mean a lot of things. Never try to diagnose that problem yourself — leave that to your dentist. If you’re experiencing pain or sensitivity in one or multiple teeth, don’t put it on the backburner. Schedule an appointment and get in to see a doctor ASAP. Most dental dilemmas can be easily solved if a dentist catches it early. The longer you wait, the more likely that tiny toothache will become something much worse.